Skip to main content
Home
Menu

Search Cooper


Popular Terms and Topics

  • Internal Medicine Residency
  • Surgical Critical Care Fellowship
  • Gastroenterology Fellowship
  • Neurology Residency
  • Cooper Research
Breadcrumb
Home  /   Med Ed Blogs
What's the Diagnosis? By Dr. Loran Hatch
EM Daily

What's the Diagnosis? By Dr. Loran Hatch

November 13 2019
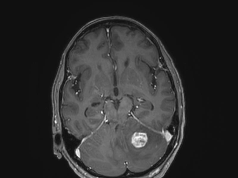
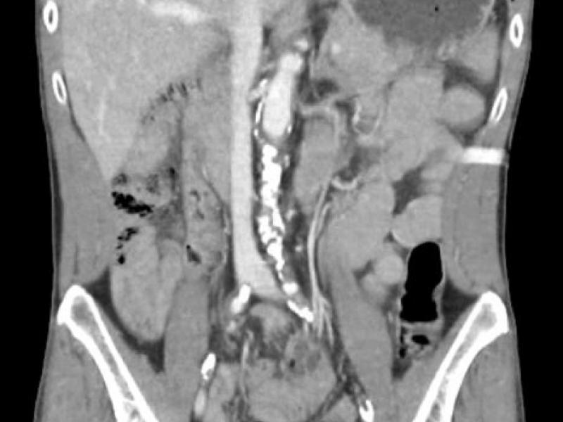
A 65 yo M with a PMhx of CHF presents to the ED complaining
EM Daily

Back to Basics: Thyroid Storm

November 11 2019
Thyroid Storm Precipitating factors: Untreated primary
EM Daily

Sunday Funday: POCUS for dyspnea

November 10 2019
A review of cardiac and lung exam with POCUS https://www
Board Review: It's all about the little people!
EM Daily

Board Review: It's all about the little people!

November 09 2019
A 1 week old male born at full term presents to the ED with
EM Daily

Deviation from Standard ACLS: Esmolol for Refractory VF/VT

November 08 2019
You have a patient in cardiac arrest getting high quality
EM Daily

#EMConf: JVD

November 07 2019
JVD, or jugular venous distention, is often thought about as
Connect the Docs

Carebridge mobile app and webinars

November 06 2019
Carebridge - Pre-Recorded Monthly Webinar Descriptions
What's the diagnosis?  By Dr. Angela Ugorets
EM Daily

What's the diagnosis? By Dr. Angela Ugorets

November 06 2019
A 64 yo female c/o dizziness. She has an unsteady gait
Pink and Teal
Connect the Docs

Pink and Teal

November 04 2019
The 10th Annual Pink Roses Teal Magnolias Brunch raised a
EM Daily

Back to Basics: Bite Wounds

November 04 2019
Management of Bite Wounds in the ED by: Lynn Manganiello
  • First page
  • Previous page
  • …
  • Page 128
  • Page 129
  • Current page 130
  • Page 131
  • Page 132
  • …
  • Next page
  • Last page
Blogs

Hospital Main Number

856.342.2000

Main Hospital Website

COOPERHEALTH.ORG

Cooper Health

Programs

  • Residencies
  • Fellowships
  • Nursing Education
  • Allied Health
  • CME
  • Life Support Training

More from Cooper

  • Research
  • Resident Wellness
  • Medical School
  • Our Campus
  • Main Hospital
  • Privacy Statement
  • FastCommand

1.800.8.COOPER (1.800.826.6737)

Contact Us

Cooper University Health Care's Main Website

This website is for informational purposes only and not intended as medical advice or a substitute for a consultation with a professional healthcare provider.

All content © 2022 Cooper University Health Care.

Menu
Education Home
Health System Home
Search

Main Navigation

  • RESIDENCIES
  • FELLOWSHIPS
  • NURSING AT COOPER
  • RESEARCH
  • INNOVATION CENTER

Utility Bottom

  • About
  • CME
  • Life Support Training
  • Medical School
  • Med Ed Blogs

This site uses cookies

We respect your privacy. Cookies help us give you a better experience on our site. By continuing to use this website, you accept and agree to such use of cookies.

Click here for information on how we use cookies.

Tired of Typing? Let's Talk.

Call 1.800.8.COOPER to speak with a Cooper representative who can answer your questions, schedule appointments and register you for classes, events and support groups.

Representatives are available Monday through Friday from 8 a.m. - 5 p.m. to assist you.

Enter your phone number below and we will connect you for free.