Skip to main content
Home
Menu

Search Cooper


Popular Terms and Topics

  • Internal Medicine Residency
  • Surgical Critical Care Fellowship
  • Gastroenterology Fellowship
  • Neurology Residency
  • Cooper Research
Breadcrumb
Home  /   Med Ed Blogs
#OurCommunity: Housestaff Council Community Service Project
Life at the Coop

#OurCommunity: Housestaff Council Community Service Project

November 21 2019
Our Cooper Teams are proud of their Camden community, and we
EM Daily

#EMConf: aVR

November 21 2019
Differential Diagnosis for ST elevation in aVR -ACS: Left
What's the diagnosis?  By Dr. Sydney Tabaac
EM Daily

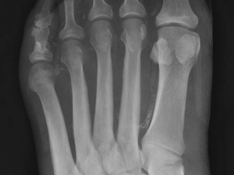
What's the diagnosis? By Dr. Sydney Tabaac

November 20 2019
A 65 yo male pmhx DM, HTN, HLD, presents with left foot pain
EM Daily

Interesting case of expanding hematoma

November 19 2019
HPI 77 y.o F PMHx CAD, AF on Eliquis presents with R thigh
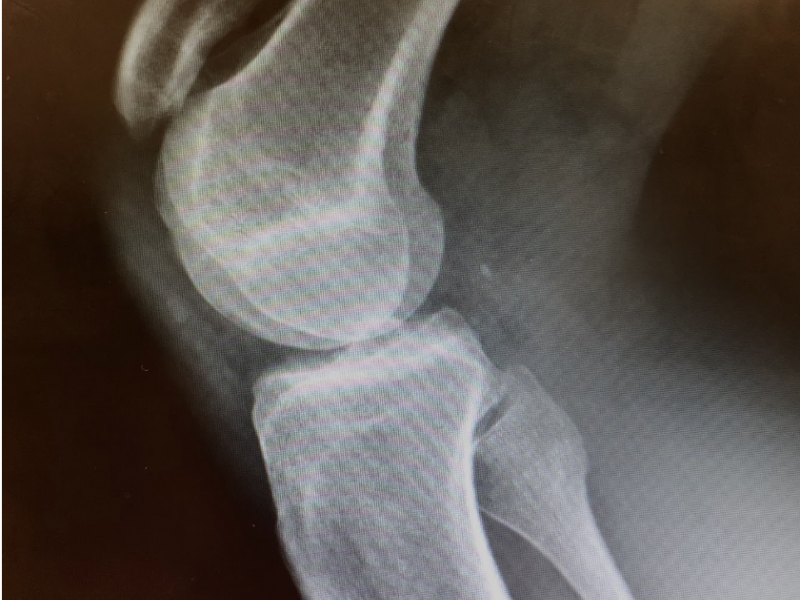
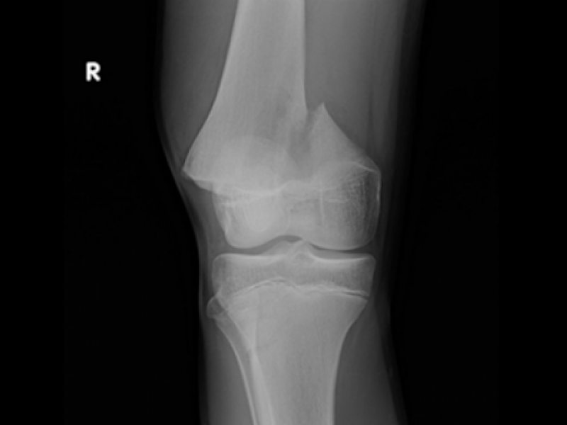
Back to Basics: A Case of Traumatic Knee Pain
EM Daily

Back to Basics: A Case of Traumatic Knee Pain

November 18 2019
Back to Basics: A Case of Traumatic Knee Pain By Dr. Ozair
Board Review: It's all about the little people!
EM Daily

Board Review: It's all about the little people!

November 16 2019
15 year old male presents to the emergency department after
EM Daily

Should the Pulse Oximetry be an A or A+?

November 15 2019
A patient has arrived with increased work of breathing
Connect the Docs

Global Kindness Day

November 14 2019
November 13th was Global Kindness Day but it is never too
EM Daily

#EMConf: Restrictive Cardiomyopathy

November 14 2019
Primary cardiomyopathies are specifically related to issues
World Kindness Day
Life at the Coop

World Kindness Day

November 13 2019
Today is World Kindness Day ! Whether it is holding open a
  • First page
  • Previous page
  • …
  • Page 127
  • Page 128
  • Current page 129
  • Page 130
  • Page 131
  • …
  • Next page
  • Last page
Blogs

Hospital Main Number

856.342.2000

Main Hospital Website

COOPERHEALTH.ORG

Cooper Health

Programs

  • Residencies
  • Fellowships
  • Nursing Education
  • Allied Health
  • CME
  • Life Support Training

More from Cooper

  • Research
  • Resident Wellness
  • Medical School
  • Our Campus
  • Main Hospital
  • Privacy Statement
  • FastCommand

1.800.8.COOPER (1.800.826.6737)

Contact Us

Cooper University Health Care's Main Website

This website is for informational purposes only and not intended as medical advice or a substitute for a consultation with a professional healthcare provider.

All content © 2022 Cooper University Health Care.

Menu
Education Home
Health System Home
Search

Main Navigation

  • RESIDENCIES
  • FELLOWSHIPS
  • NURSING AT COOPER
  • RESEARCH
  • INNOVATION CENTER

Utility Bottom

  • About
  • CME
  • Life Support Training
  • Medical School
  • Med Ed Blogs

This site uses cookies

We respect your privacy. Cookies help us give you a better experience on our site. By continuing to use this website, you accept and agree to such use of cookies.

Click here for information on how we use cookies.

Tired of Typing? Let's Talk.

Call 1.800.8.COOPER to speak with a Cooper representative who can answer your questions, schedule appointments and register you for classes, events and support groups.

Representatives are available Monday through Friday from 8 a.m. - 5 p.m. to assist you.

Enter your phone number below and we will connect you for free.