Skip to main content
Home
Menu

Search Cooper


Popular Terms and Topics

  • Internal Medicine Residency
  • Surgical Critical Care Fellowship
  • Gastroenterology Fellowship
  • Neurology Residency
  • Cooper Research
Breadcrumb
Home  /   Med Ed Blogs
Wellness Wednesday: A Time to Be Thankful
Life at the Coop

Wellness Wednesday: A Time to Be Thankful

November 27 2019
Click to expand Thanksgiving is a time to remember all we
What's the Diagnosis? By Dr. Loran Hatch
EM Daily

What's the Diagnosis? By Dr. Loran Hatch

November 27 2019
A 60 yo F presents to the ED after a fall from height with
Connect the Docs

Thanksgiving and gratitude

November 27 2019
Science of Gratitude People who regularly experience
Connect the Docs

Attenborough's appreciation of life

November 26 2019
A short 3-minute film featuring Sir David Attenborough
EM Daily

Interesting Case of extremity weakness

November 26 2019
HPI 41 y.o. female PMHx familial hypokalemic periodic
Congratulations to Provider of the Quarter, Jason Bartock!
Connect the Docs

Congratulations to Provider of the Quarter, Jason Bartock!

November 25 2019
Our provider of the quarter, Jason Bartock, was surrounded
Back to Basics: Incomplete Spinal Cord Syndromes
EM Daily

Back to Basics: Incomplete Spinal Cord Syndromes

November 25 2019
Reference: Go S. Spine Trauma. In: Tintinalli JE
EM Daily

Sunday Funday: Acute Pulmonary Embolism

November 24 2019
https://www.youtube.com/watch?v=v8KQuJMQpMg&feature=youtu.be
Board Review: It's all about the little people!
EM Daily

Board Review: It's all about the little people!

November 23 2019
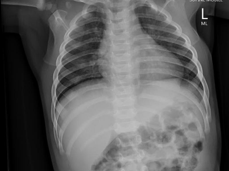
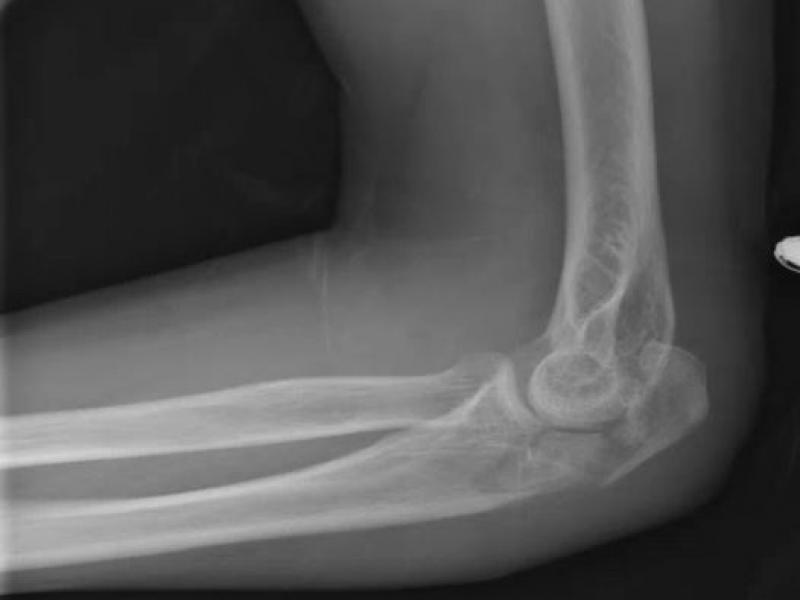
An 11-month old male born at full term arrives to your ED
#Name that Mode…and a ventilator alarm is firing!
EM Daily

#Name that Mode…and a ventilator alarm is firing!

November 22 2019
An 82-year-old woman is mechanically ventilated for acute
  • First page
  • Previous page
  • …
  • Page 126
  • Page 127
  • Current page 128
  • Page 129
  • Page 130
  • …
  • Next page
  • Last page
Blogs

Hospital Main Number

856.342.2000

Main Hospital Website

COOPERHEALTH.ORG

Cooper Health

Programs

  • Residencies
  • Fellowships
  • Nursing Education
  • Allied Health
  • CME
  • Life Support Training

More from Cooper

  • Research
  • Resident Wellness
  • Medical School
  • Our Campus
  • Main Hospital
  • Privacy Statement
  • FastCommand

1.800.8.COOPER (1.800.826.6737)

Contact Us

Cooper University Health Care's Main Website

This website is for informational purposes only and not intended as medical advice or a substitute for a consultation with a professional healthcare provider.

All content © 2022 Cooper University Health Care.

Menu
Education Home
Health System Home
Search

Main Navigation

  • RESIDENCIES
  • FELLOWSHIPS
  • NURSING AT COOPER
  • RESEARCH
  • INNOVATION CENTER

Utility Bottom

  • About
  • CME
  • Life Support Training
  • Medical School
  • Med Ed Blogs

This site uses cookies

We respect your privacy. Cookies help us give you a better experience on our site. By continuing to use this website, you accept and agree to such use of cookies.

Click here for information on how we use cookies.

Tired of Typing? Let's Talk.

Call 1.800.8.COOPER to speak with a Cooper representative who can answer your questions, schedule appointments and register you for classes, events and support groups.

Representatives are available Monday through Friday from 8 a.m. - 5 p.m. to assist you.

Enter your phone number below and we will connect you for free.