Skip to main content
Home
Menu

Search Cooper


Popular Terms and Topics

  • Internal Medicine Residency
  • Surgical Critical Care Fellowship
  • Gastroenterology Fellowship
  • Neurology Residency
  • Cooper Research
Breadcrumb
Home  /   Med Ed Blogs
EM Daily

Week in Review: Mar 19th - 24th

March 25 2018
Monday: Back to Basics - Hyperthermia and AMS Very wide and
EM Daily

Board Review: Metabolic Emergencies

March 24 2018
A 60-year-old man with chronic alcohol abuse presents with
EM Daily

Board Review: Metabolic Emergencies

March 24 2018
A 60-year-old man with chronic alcohol abuse presents with
EM Daily

A Case of Pediatric Ingesion

March 23 2018
A 2-year old presents with a chief complaint of accidental
EM Daily

A Case of Pediatric Ingesion

March 23 2018
A 2-year old presents with a chief complaint of accidental
EM Daily

#EMconf: Acute Pain Management in the ED

March 22 2018
Acute Pain Management in the ED 1. When considering opioids
EM Daily

#EMconf: Acute Pain Management in the ED

March 22 2018
Acute Pain Management in the ED 1. When considering opioids
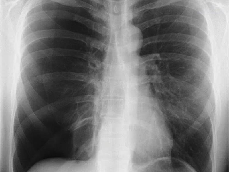
What's the Diagnosis? By Dr. Lauren Murphy
EM Daily

What's the Diagnosis? By Dr. Lauren Murphy

March 21 2018
A 37 yo male with no sig PMH presents with pleuritic chest
What's the Diagnosis? By Dr. Lauren Murphy
EM Daily

What's the Diagnosis? By Dr. Lauren Murphy

March 21 2018
A 37 yo male with no sig PMH presents with pleuritic chest
Advanced Practice: Cardiac Arrest in Pregnancy
EM Daily

Advanced Practice: Cardiac Arrest in Pregnancy

March 20 2018
Differences: Emphasis on early airway support. Uterus
  • First page
  • Previous page
  • …
  • Page 204
  • Page 205
  • Current page 206
  • Page 207
  • Page 208
  • …
  • Next page
  • Last page
Blogs

Hospital Main Number

856.342.2000

Main Hospital Website

COOPERHEALTH.ORG

Cooper Health

Programs

  • Residencies
  • Fellowships
  • Nursing Education
  • Allied Health
  • CME
  • Life Support Training

More from Cooper

  • Research
  • Resident Wellness
  • Medical School
  • Our Campus
  • Main Hospital
  • Privacy Statement
  • FastCommand

1.800.8.COOPER (1.800.826.6737)

Contact Us

Cooper University Health Care's Main Website

This website is for informational purposes only and not intended as medical advice or a substitute for a consultation with a professional healthcare provider.

All content © 2022 Cooper University Health Care.

Menu
Education Home
Health System Home
Search

Main Navigation

  • RESIDENCIES
  • FELLOWSHIPS
  • NURSING AT COOPER
  • RESEARCH
  • INNOVATION CENTER

Utility Bottom

  • About
  • CME
  • Life Support Training
  • Medical School
  • Med Ed Blogs

This site uses cookies

We respect your privacy. Cookies help us give you a better experience on our site. By continuing to use this website, you accept and agree to such use of cookies.

Click here for information on how we use cookies.

Tired of Typing? Let's Talk.

Call 1.800.8.COOPER to speak with a Cooper representative who can answer your questions, schedule appointments and register you for classes, events and support groups.

Representatives are available Monday through Friday from 8 a.m. - 5 p.m. to assist you.

Enter your phone number below and we will connect you for free.