Skip to main content
Home
Menu

Search Cooper


Popular Terms and Topics

  • Internal Medicine Residency
  • Surgical Critical Care Fellowship
  • Gastroenterology Fellowship
  • Neurology Residency
  • Cooper Research
Breadcrumb
Home  /   Med Ed Blogs
What's the Diagnosis?  By Dr. Loran Hatch
EM Daily

What's the Diagnosis? By Dr. Loran Hatch

June 12 2019
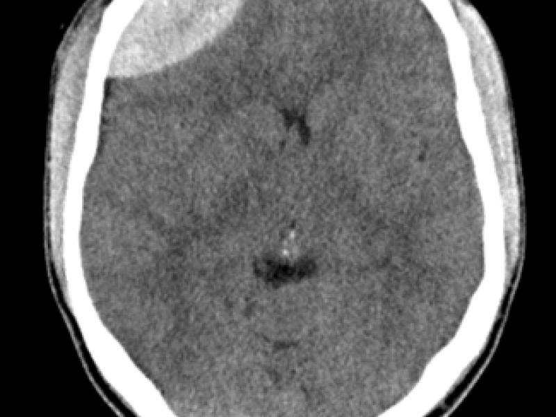
A 43 yo intoxicated male presents after he was struck by a
EM Daily

Back to Basics: Orbital Cellulitis

June 10 2019
Orbital Cellulitis Infection of the soft tissue surrounding
EM Daily

Back to Basics: Orbital Cellulitis

June 10 2019
Orbital Cellulitis Infection of the soft tissue surrounding
What's the Diagnosis? By Dr. Katie Selman
EM Daily

What's the Diagnosis? By Dr. Katie Selman

June 05 2019
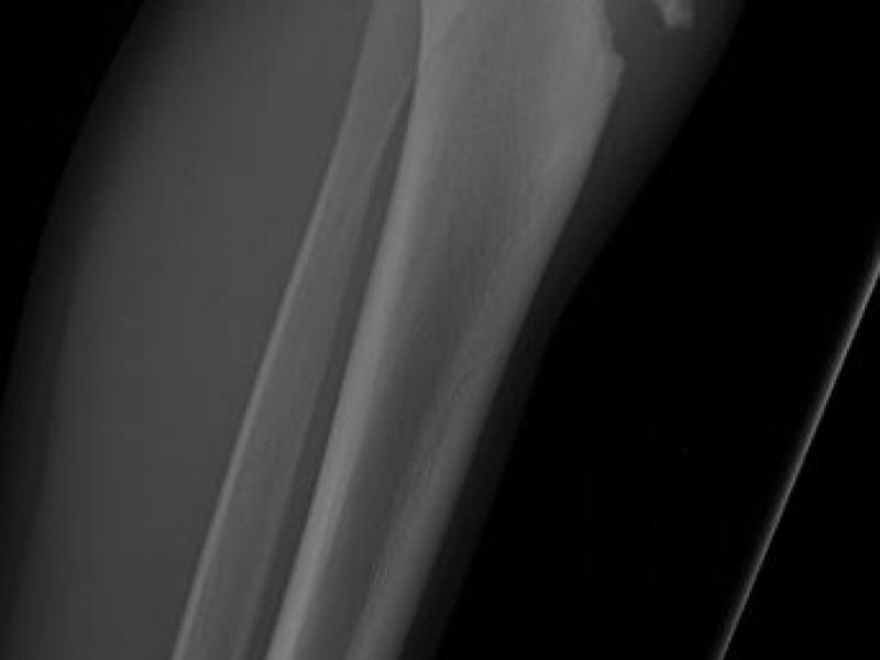
A 13 yo M presents to the ED c/o knee pain. He was playing
What's the Diagnosis? By Dr. Katie Selman
EM Daily

What's the Diagnosis? By Dr. Katie Selman

June 05 2019
A 13 yo M presents to the ED c/o knee pain. He was playing
EM Daily

Back to Basics: ECMO

June 03 2019
Back to Basics: ECMO •ECMO (extracorporeal membrane
EM Daily

Back to Basics: ECMO

June 03 2019
Back to Basics: ECMO •ECMO (extracorporeal membrane
What's the diagnosis?  By Dr. Michael Tom
EM Daily

What's the diagnosis? By Dr. Michael Tom

May 29 2019
A 53 yo male with a history of IV drug use presents with an
What's the diagnosis?  By Dr. Michael Tom
EM Daily

What's the diagnosis? By Dr. Michael Tom

May 29 2019
A 53 yo male with a history of IV drug use presents with an
What's the Diagnosis? By Dr. Erica Schramm
EM Daily

What's the Diagnosis? By Dr. Erica Schramm

May 22 2019
A 20 yo M presents to the ED following a high speed motor
  • First page
  • Previous page
  • …
  • Page 143
  • Page 144
  • Current page 145
  • Page 146
  • Page 147
  • …
  • Next page
  • Last page
Blogs

Hospital Main Number

856.342.2000

Main Hospital Website

COOPERHEALTH.ORG

Cooper Health

Programs

  • Residencies
  • Fellowships
  • Nursing Education
  • Allied Health
  • CME
  • Life Support Training

More from Cooper

  • Research
  • Resident Wellness
  • Medical School
  • Our Campus
  • Main Hospital
  • Privacy Statement
  • FastCommand

1.800.8.COOPER (1.800.826.6737)

Contact Us

Cooper University Health Care's Main Website

This website is for informational purposes only and not intended as medical advice or a substitute for a consultation with a professional healthcare provider.

All content © 2022 Cooper University Health Care.

Menu
Education Home
Health System Home
Search

Main Navigation

  • RESIDENCIES
  • FELLOWSHIPS
  • NURSING AT COOPER
  • RESEARCH
  • INNOVATION CENTER

Utility Bottom

  • About
  • CME
  • Life Support Training
  • Medical School
  • Med Ed Blogs

This site uses cookies

We respect your privacy. Cookies help us give you a better experience on our site. By continuing to use this website, you accept and agree to such use of cookies.

Click here for information on how we use cookies.

Tired of Typing? Let's Talk.

Call 1.800.8.COOPER to speak with a Cooper representative who can answer your questions, schedule appointments and register you for classes, events and support groups.

Representatives are available Monday through Friday from 8 a.m. - 5 p.m. to assist you.

Enter your phone number below and we will connect you for free.