Board Review: Summer Emergencies
August 17 2019
Board Review: Summer Emergencies
August 17 2019

Dialysis Disequilibrium Syndrome
August 16 2019

Dialysis Disequilibrium Syndrome
August 16 2019

#EMConf: The YEARS Algorithm
August 15 2019

#EMConf: The YEARS Algorithm
August 15 2019

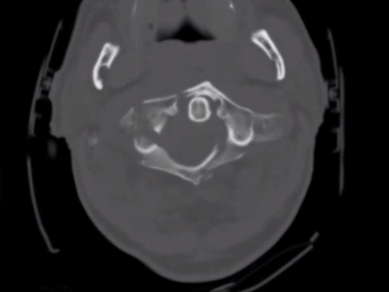
What's the diagnosis? By Dr. Lynn Manganiello
August 14 2019

What's the diagnosis? By Dr. Lynn Manganiello
August 14 2019
Critical Cases: Abdominal Cramping and Vaginal Bleeding
August 13 2019