Skip to main content
Home
Menu

Search Cooper


Popular Terms and Topics

  • Internal Medicine Residency
  • Surgical Critical Care Fellowship
  • Gastroenterology Fellowship
  • Neurology Residency
  • Cooper Research
Breadcrumb
Home  /   Med Ed Blogs
Connect the Docs

Cooper Research Connections

October 09 2019
Cooper's Research Connections is a blog dedicated to
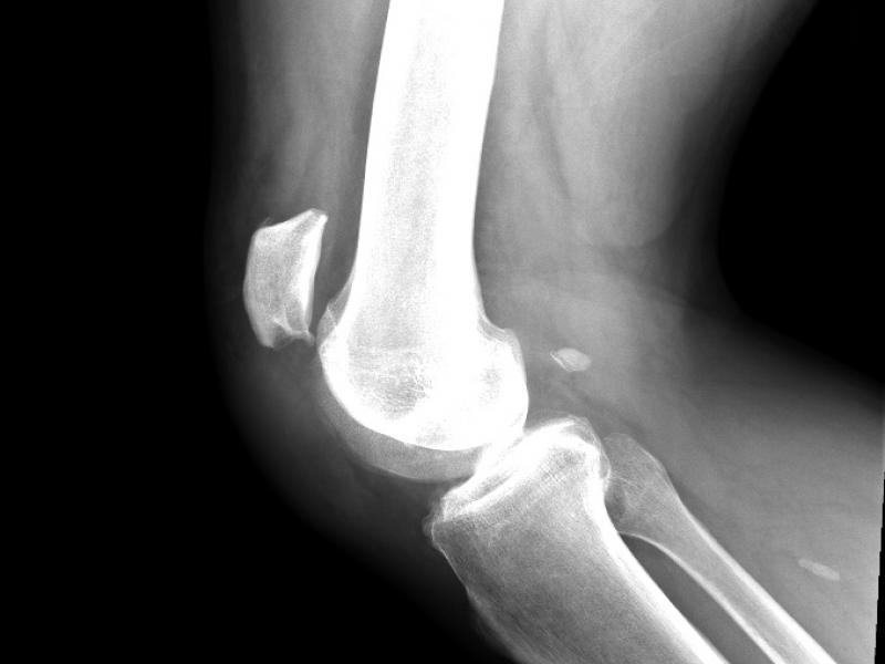
What's the Diagnosis?  By Dr. Lynn Manganiello
EM Daily

What's the Diagnosis? By Dr. Lynn Manganiello

October 09 2019
A 59 yo male presents after fall from standing with right
Critical Cases - Refractory SVT in the ED!
EM Daily

Critical Cases - Refractory SVT in the ED!

October 08 2019
Step 1 - Modified Valsalva Have the pt lie in semi-recumbent
Back to Basics: A common rash
EM Daily

Back to Basics: A common rash

October 07 2019
12 yo male with no significant pmh presents to the ED with a
Board Review: Revive Me!
EM Daily

Board Review: Revive Me!

October 05 2019
A trauma alert is called for a 20-year-old male involved in
Ventilator graphic analysis: Obstructive lung disease
EM Daily

Ventilator graphic analysis: Obstructive lung disease

October 04 2019
Ventilator graphics provide a rapid display of a patient's
#EMConf: PEA Arrest and Hs & Ts
EM Daily

#EMConf: PEA Arrest and Hs & Ts

October 03 2019
What's the Diagnosis? By Dr. Katie Selman
EM Daily

What's the Diagnosis? By Dr. Katie Selman

October 02 2019
A 30 yo F with no past medical history presents to the ED
EM Daily

Interesting case of Pericarditis

October 01 2019
HPI: 69 yo M, PMHx Lung Adenocarcinoma recently started on
Back to Basics:  Non-Traumatic Subarachnoid Hemorrhage Treatment
EM Daily

Back to Basics: Non-Traumatic Subarachnoid Hemorrhage Treatment

September 30 2019
Non-traumatic Subarachnoid Hemorrhage Treatment Maintain
  • First page
  • Previous page
  • …
  • Page 132
  • Page 133
  • Current page 134
  • Page 135
  • Page 136
  • …
  • Next page
  • Last page
Blogs

Hospital Main Number

856.342.2000

Main Hospital Website

COOPERHEALTH.ORG

Cooper Health

Programs

  • Residencies
  • Fellowships
  • Nursing Education
  • Allied Health
  • CME
  • Life Support Training

More from Cooper

  • Research
  • Resident Wellness
  • Medical School
  • Our Campus
  • Main Hospital
  • Privacy Statement
  • FastCommand

1.800.8.COOPER (1.800.826.6737)

Contact Us

Cooper University Health Care's Main Website

This website is for informational purposes only and not intended as medical advice or a substitute for a consultation with a professional healthcare provider.

All content © 2022 Cooper University Health Care.

Menu
Education Home
Health System Home
Search

Main Navigation

  • RESIDENCIES
  • FELLOWSHIPS
  • NURSING AT COOPER
  • RESEARCH
  • INNOVATION CENTER

Utility Bottom

  • About
  • CME
  • Life Support Training
  • Medical School
  • Med Ed Blogs

This site uses cookies

We respect your privacy. Cookies help us give you a better experience on our site. By continuing to use this website, you accept and agree to such use of cookies.

Click here for information on how we use cookies.

Tired of Typing? Let's Talk.

Call 1.800.8.COOPER to speak with a Cooper representative who can answer your questions, schedule appointments and register you for classes, events and support groups.

Representatives are available Monday through Friday from 8 a.m. - 5 p.m. to assist you.

Enter your phone number below and we will connect you for free.