Skip to main content
Home
Menu

Search Cooper


Popular Terms and Topics

  • Internal Medicine Residency
  • Surgical Critical Care Fellowship
  • Gastroenterology Fellowship
  • Neurology Residency
  • Cooper Research
Breadcrumb
Home  /   Med Ed Blogs
Connect the Docs

Upcoming Webinar on Patient Safety and Staff Well-being Jan 16th

January 07 2020
Integrated Model: Patient Safety and Staff Wellbeing
Back to Basics: Postpartum Hemorrhage
EM Daily

Back to Basics: Postpartum Hemorrhage

January 06 2020
Board Review: Pick your poison!
EM Daily

Board Review: Pick your poison!

January 04 2020
A 55-year-old male with a history of bipolar disorder and
Medicine Grand Rounds: January 2020
Life at the Coop

Medicine Grand Rounds: January 2020

January 03 2020
Join us in January for our Medicine Grand Rounds, held from
Critical Care Controversies
EM Daily

Critical Care Controversies

January 03 2020
Enteral nutrition is rarely an urgent topic of discussion
Connect the Docs

6 tips for emotional wellbeing in 2020

January 01 2020
https://www.npr.org/sections/health-shots/2019/12/31
What's the Diagnosis? By Dr. Katie Selman
EM Daily

What's the Diagnosis? By Dr. Katie Selman

January 01 2020
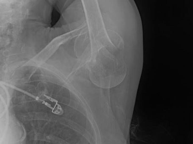
A 76 yo F presents to the ED w/ L shoulder pain. While
EM Daily

Critical Cases - Dizziness and Vomiting - Benign or Catastrophic?

December 31 2019
HPI 59 y.o. African-American male presents with complaints
EM Daily

Rectus Sheath Hematoma

December 30 2019
EM Daily

What harm could a vitamin cause?

December 27 2019
EMS brings in a 45 year old male with a PMHX of tobacco
  • First page
  • Previous page
  • …
  • Page 122
  • Page 123
  • Current page 124
  • Page 125
  • Page 126
  • …
  • Next page
  • Last page
Blogs

Hospital Main Number

856.342.2000

Main Hospital Website

COOPERHEALTH.ORG

Cooper Health

Programs

  • Residencies
  • Fellowships
  • Nursing Education
  • Allied Health
  • CME
  • Life Support Training

More from Cooper

  • Research
  • Resident Wellness
  • Medical School
  • Our Campus
  • Main Hospital
  • Privacy Statement
  • FastCommand

1.800.8.COOPER (1.800.826.6737)

Contact Us

Cooper University Health Care's Main Website

This website is for informational purposes only and not intended as medical advice or a substitute for a consultation with a professional healthcare provider.

All content © 2022 Cooper University Health Care.

Menu
Education Home
Health System Home
Search

Main Navigation

  • RESIDENCIES
  • FELLOWSHIPS
  • NURSING AT COOPER
  • RESEARCH
  • INNOVATION CENTER

Utility Bottom

  • About
  • CME
  • Life Support Training
  • Medical School
  • Med Ed Blogs

This site uses cookies

We respect your privacy. Cookies help us give you a better experience on our site. By continuing to use this website, you accept and agree to such use of cookies.

Click here for information on how we use cookies.

Tired of Typing? Let's Talk.

Call 1.800.8.COOPER to speak with a Cooper representative who can answer your questions, schedule appointments and register you for classes, events and support groups.

Representatives are available Monday through Friday from 8 a.m. - 5 p.m. to assist you.

Enter your phone number below and we will connect you for free.